• 首页
  • 关于我们
  • 技术服务
    • 病毒实验
    • 病理实验
      • HE染色
      • Masson染色
      • PAS染色
      • 免疫荧光
      • 免疫组化染色
    • 蛋白组学实验
      • ELISA检测
      • EMSA
      • IP免疫共沉淀
      • Western Blotting检测
    • 动物实验
    • 分子生物学实验
      • CHIP(染色质免疫共沉淀)
      • microRNA靶基因验证
      • QPCR
      • RNAi技术
      • SNP(甲基化)检测
      • 载体构建
    • 细胞实验
      • 细胞原代培养
      • 细胞增殖实验
      • 血管生成与凋亡实验
      • 转移与EMT相关实验
  • 新闻资讯
    • 公司新闻
    • 行业动态
  • 产品中心
  • 数据库服务
  • 人才招聘
    • 招聘信息
    • 联系我们
技术服务
  • 病毒实验
  • 病理实验
    • HE染色
    • Masson染色
    • PAS染色
    • 免疫荧光
    • 免疫组化染色
  • 蛋白组学实验
    • ELISA检测
    • EMSA
    • IP免疫共沉淀
    • Western Blotting检测
  • 动物实验
  • 分子生物学实验
    • CHIP(染色质免疫共沉淀)
    • microRNA靶基因验证
    • QPCR
    • RNAi技术
    • SNP(甲基化)检测
    • 载体构建
  • 细胞实验
    • 细胞原代培养
    • 细胞增殖实验
    • 血管生成与凋亡实验
    • 转移与EMT相关实验
最新资讯 New
Nature:发现延胡索酸积累与肾癌生长相关联
Cell:首次利用CRISPR/Cas9系统鉴定出寄生虫必需
第二届国际再生医学健康产业论坛(2016 IRMF)暨第四届
我们一直守候在你身边——梅斯医学公式让你的诊断更为精准
人工智能加快乳腺癌风险预测
Cell子刊:为何肺炎更偏爱人类?
JNCI:重磅!科学家利用CRISPR/Cas9技术使癌症突
联系我们 Contact
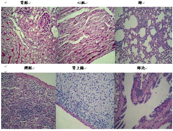
您现在的位置:首页 > 技术服务 >病理实验 > PAS染色

  PAS染色可显示黏液、糖原、基底膜、霉菌、阿米巴滋养体等目的物,是病理学中一种非常重要又十分常用的染色方法。PAS染色所用的Schiff试剂比较容易失效,有些实验室强调每次染色要新鲜配制。PAS染色原理为品红溶液经二氧化硫作用变为无色品红,再经醛作用而变成紫红色化合物。

Copyright @ 广州杰尔克生物技术有限公司. All Rights Reserved. 

020-32052239