您现在的位置:首页 > 技术服务 >病理实验 > HE染色

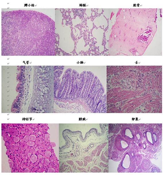
  HE染色是组织学、胚胎学、病理学教学与科研中最基本、使用最广泛的技术方法。 即是苏木精-伊红染色法。苏木精染液为碱性,主要使细胞核内的染色质与胞质内的核糖体着紫蓝色;伊红为酸性染料,主要使细胞质和细胞外基质中的成分着红色。易于被碱性或酸性染料着色的性质分别称为嗜碱性和嗜酸性;若于两种染料的亲和力都不强,则称中性。一般的组织变化和组织产物都可以通过这一染色法显示出来。是形态学最常用的染色方法。直到目前为止,病理组织学的基本知识,绝大多数都是从观察HE染色标本中得来,在质量较佳的HE染色切片上,各种组织或细胞的一般形态结特点都可以观察到。