• 首页
  • 关于我们
  • 技术服务
    • 病毒实验
    • 病理实验
      • HE染色
      • Masson染色
      • PAS染色
      • 免疫荧光
      • 免疫组化染色
    • 蛋白组学实验
      • ELISA检测
      • EMSA
      • IP免疫共沉淀
      • Western Blotting检测
    • 动物实验
    • 分子生物学实验
      • CHIP(染色质免疫共沉淀)
      • microRNA靶基因验证
      • QPCR
      • RNAi技术
      • SNP(甲基化)检测
      • 载体构建
    • 细胞实验
      • 细胞原代培养
      • 细胞增殖实验
      • 血管生成与凋亡实验
      • 转移与EMT相关实验
  • 新闻资讯
    • 公司新闻
    • 行业动态
  • 产品中心
  • 数据库服务
  • 人才招聘
    • 招聘信息
    • 联系我们
技术服务
  • 病毒实验
  • 病理实验
    • HE染色
    • Masson染色
    • PAS染色
    • 免疫荧光
    • 免疫组化染色
  • 蛋白组学实验
    • ELISA检测
    • EMSA
    • IP免疫共沉淀
    • Western Blotting检测
  • 动物实验
  • 分子生物学实验
    • CHIP(染色质免疫共沉淀)
    • microRNA靶基因验证
    • QPCR
    • RNAi技术
    • SNP(甲基化)检测
    • 载体构建
  • 细胞实验
    • 细胞原代培养
    • 细胞增殖实验
    • 血管生成与凋亡实验
    • 转移与EMT相关实验
最新资讯 New
Nature:发现延胡索酸积累与肾癌生长相关联
Cell:首次利用CRISPR/Cas9系统鉴定出寄生虫必需
第二届国际再生医学健康产业论坛(2016 IRMF)暨第四届
我们一直守候在你身边——梅斯医学公式让你的诊断更为精准
人工智能加快乳腺癌风险预测
Cell子刊:为何肺炎更偏爱人类?
JNCI:重磅!科学家利用CRISPR/Cas9技术使癌症突
联系我们 Contact
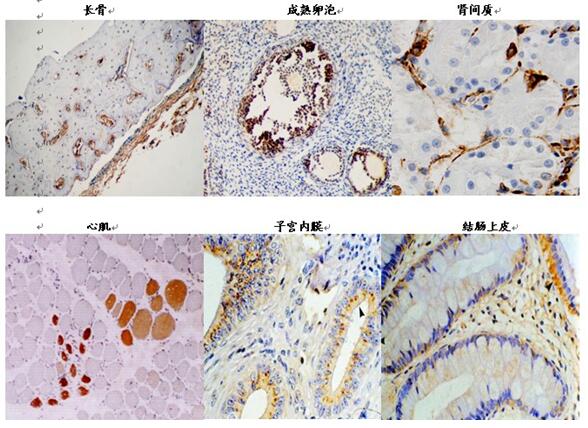
您现在的位置:首页 > 技术服务 >病理实验 > 免疫组化染色

  免疫组化是应用免疫学基本原理——抗原抗体反应,即抗原与抗体特异性结合的原理,通过化学反应使标记抗体的显色剂 (荧光素、酶、金属离子、同位素) 显色来确定组织细胞内抗原(多肽和蛋白质),对其进行定位、定性及定量的研究,称为免疫组织化学技术(immunohistochemistry)或免疫细胞化学技术(immunocytochemistry)。

Copyright @ 广州杰尔克生物技术有限公司. All Rights Reserved. 

020-32052239